
Пациентам на заметку! МРТ органов малого таза
Рассказывает главный врач ООО МРТ Керчь НИКОНОРОВА Надежда Ивановна.
Конечно же многие знают, что такое МРТ и насколько это высокоэффективное обследование важно в диагностике заболевания.
Рассказывает главный врач ООО МРТ Керчь НИКОНОРОВА Надежда Ивановна.
Конечно же многие знают, что такое МРТ и насколько это высокоэффективное обследование важно в диагностике заболевания.
Голеностопный сустав подвергается постоянной высокой нагрузке, он участвует во всех движениях нижней конечности, принимая на себя вес тела человека. Активные занятия спортом, обувь на высоком каблуке, травмы – это далеко не полный перечень причин развития воспалительных и деструктивных процессов в голеностопе.
Диагностический медицинский центр МРТ Керчь (остановка СРЗ) призывает пациентов не оставаться равнодушными к своему здоровью! Мы работаем для Вас ежедневно с 8-00 до 20-00 без выходных и перерывов, принимаем пациентов на обследование и консультативный прием врачей невролога, гастроэнтеролога, терапевта и онколога!
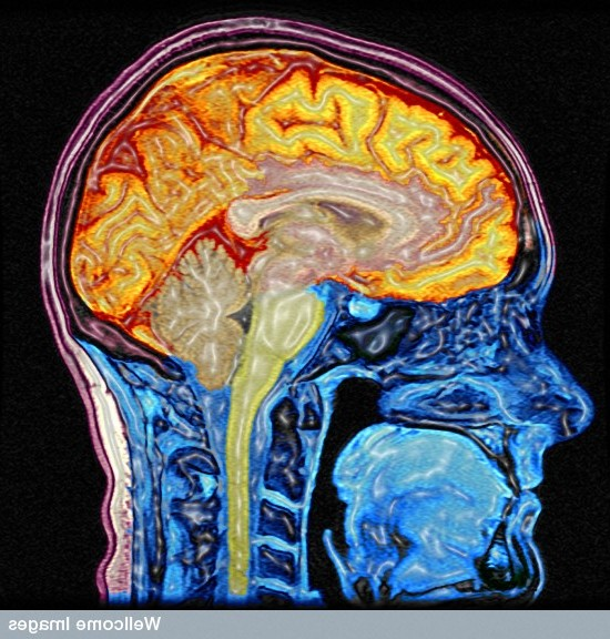
Мигрень – это неврологическое заболевание, основным проявлением которого являются периодические приступы сильной головной боли, обычно односторонней, продолжительностью от 4 до 72 часов, сопровождающиеся тошнотой, непереносимостью света и звука.
"МРТ КЕРЧЬ поможет установить точный диагноз" Исигильдинов Булат Булатович, врач-рентгенолог, диагностического медцентра «МРТ Керчь»
Обследование МРТ – это современный, безопасный и высокоточный метод диагностики, позволяющий получать подробную информацию о состоянии внутренних органов, суставов и сосудов. Исследование объединяет в себе множество разных программ сканирования, которые подбирает врач, в зависимости от стоящей перед ним задачи.
С детьми рисковать не стоит , так как для маленьких пациентов дорога каждая минута. Нужно оперативно поставить правильный диагноз и начать лечение, чтобы будущее ребенка было светлым.
При обращении к врачу, с каким – либо заболеванием, доктор не всегда может поставить диагноз самостоятельно. У него есть только предположения, для того, чтобы их опровергнуть или оправдать пациент отправляется на томографию. Слово томография, греческого происхождения, в переводе означающее «посрезовое изображение»
До недавнего времени метод МРТ считался ноу-хау в медицине и его назначали в сложных диагностических случаях. МРТ относилось к высокотехнологичной помощи. Количество исследований было ограничено, как и количество обученного персонала.
Наравне с множественными достоинствами магнитно-резонансная томография владеет перечнем противопоказаний, которые попытаемся изложить в данной статье.
В некоторых случаях, когда требуется повысить точность показателей, применяется особое контрастирующее вещество. Как правило, такое исследование назначается пациентам с онкологическими заболеваниями, для выявления опухоли, её структуры.
Аппараты МРТ появились в медицине относительно недавно, в 1973 году профессор Пол Лотербур опубликовал свой научный труд, в котором описывал принципы локального воздействия на основании магнитных резонансов.